设为首页收藏本站

弧论坛

 找回密码
 立即注册
搜索
热搜: 活动 交友 discuz
查看: 3961|回复: 0
打印 上一主题 下一主题

首次发现!你的大脑可能被细菌入侵:突破血脑屏障后,肠道菌群将带来未知影响?

[复制链接]

5923

主题

6632

帖子

7192

积分

坛主

Rank: 10Rank: 10Rank: 10

积分
7192
跳转到指定楼层
楼主
发表于 2018-11-18 01:49 | 只看该作者 回帖奖励 |倒序浏览 |阅读模式
首次发现!你的大脑可能被细菌入侵:突破血脑屏障后,肠道菌群将带来未知影响?[color=rgba(0, 0, 0, 0.298)]

[color=rgba(0, 0, 0, 0.298)]Original
[color=rgba(0, 0, 0, 0.298)]李晓慧
环球科学ScientificAmerican
[color=rgba(0, 0, 0, 0.298)]Yesterday
[color=rgba(0, 0, 0, 0.298)]



                               
登录/注册后可看大图
存在于大脑的一种肠道菌,AKK菌。图片来源:piscesweb

肠道菌群与大脑功能相关联的观点已被科学界接纳,但以往科学研究都认为其是以间接方式影响。最新研究告诉我们,肠道菌群本身就栖息在大脑里,类型多达3种,这并不是病人才有的特征,即使是健康人也同样存在。至于它怎么进去的,对大脑是有益有害还并不知晓。肠道菌群能突破血脑屏障进入大脑已经是革命性的发现。
撰文丨李晓慧

在每一个人的肠道中,都生活着数万亿微生物,它们与人之间有着复杂而微妙的关系,甚至有科学家将其称为人体的另一个器官,甚至另一个“你”。

有很多研究认为肠道菌群与人的情绪、行为甚至是大脑神经系统疾病相关联,但这种关联往往是间接的。但最近,在美国神经科学学会年会上,一张海报展示了肠道菌群入侵并栖息于健康人类大脑细胞的高分辨率显微镜图像。

这引起了与会者的关注,因为这是此前从未在人脑中发现过的。肠道微生物如何能够通过“严密”的血脑屏障?这是否意味着肠道菌群可以直接对大脑产生影响?这一研究的领导者神经解剖学家Rosalinda Roberts将继续深入探寻背后的原因,而其它科学家认为如果这一发现成真,那将是革命性的成果。


肠道菌群影响大脑

肠道菌群,是生存在人肠道里的大量微生物群落,它的数量比组成人本身的细胞数量还要多。近年来,很多研究逐渐揭示了肠道菌群是如何影响着人的整体健康,消化系统疾病、内分泌系统疾病、精神系统疾病、自身免疫性疾病等等都与它有联系。大多数研究都认为肠道菌群会释放毒素或影响免疫系统,进而对大脑造成影响

2011年,就有研究发现,肠道菌群可以影响人的思维,改变大脑中的化学反应,并影响人的情绪和行为。爱尔兰神经科学家John Cryan曾在《美国国家科学院院刊》(PNAS)上刊文称,给予小鼠鼠李糖乳杆菌6周后,小鼠表现出了较少的压力和焦虑迹象。在这些小鼠的大脑中,研究人员发现编码神经递质GABA(γ-氨基丁酸)受体部分的基因活性发生了变化。

美国加州大学洛杉矶分校的研究人员2018年在Cell上发表的文章表明,高脂肪低碳水化合物的生酮饮食可以大幅改变小鼠的肠道菌群,而这可以阻止小鼠的癫痫发作,其中艾克曼菌和放线棒菌发挥着关键作用。研究者认为,是肠道细菌间接地影响了大脑,这些细菌影响了大脑中海马体的神经递质水平,而海马体被认为在扩散癫痫中起着重要作用。


                               
登录/注册后可看大图

美国阿拉巴马大学神经解剖学家Rosalinda Roberts此次展示的大脑中的肠道菌群图像,可能意味着肠道菌群与大脑有着更亲密的关系。没有参与此项研究的美国加利福尼亚大学神经科学家Ronald McGregor在接受媒体采访时表示,“这是本周的热门话题,这就像是在大脑中有一个全新的分子工厂,这让人非常兴奋。”


肠道菌群栖息于大脑?

在神经解剖学家Rosalinda Roberts的实验室中,研究人员通过检查死亡数小时内的脑组织切片,寻找健康人与精神分裂症患者之间的差异。大约在5年前,神经科学家Courtney Walker对脑组织切片图像中未被识别的棒状物产生了兴趣。Roberts以前也发现过这些棒状物,但是她并没有在意,Walker则一直在坚持。

Roberts曾向大学中的其它研究人员询问这些棒状物是什么。就在今年,一个细菌学家给了她一个意想不到的信息:那些东西是细菌。现在,Roberts在他们所检查的每一个大脑中的某些部位都发现了细菌。其中约有一半是健康人的大脑,而另外一半来自精神分裂症患者。


                               
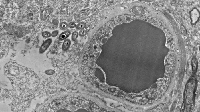
登录/注册后可看大图
人类大脑切片里面存在细菌。图片: ROSALINDA ROBERTS

Roberts希望知道,在人死亡之后和大脑移除之前的这几个小时内,肠道细菌是否有可能“渗透”到大脑中。她观察了健康的小鼠大脑,这些大脑在小鼠被杀后立即进行保存,结果发现了更多细菌。之后,他们又检查了无菌小鼠的大脑,无菌小鼠身体中完全没有可检测到的微生物,死后它们的大脑中也并未发现微生物。这似乎排除了死后感染细菌的可能性。

RNA的测序结果揭示,大部分细菌都属于在肠道内比较常见的三类细菌,分别为厚壁菌、变形杆菌以及拟杆菌。这些细菌如何进入人类大脑?研究人员目前还不清楚。因为大脑是一个受保护的环境,围绕其血管的细胞网络会阻挡血液内容物,细菌和病毒如果能够穿过这种血脑屏障,则会有危及生命的风险。

目前,据研究人员猜测,它们有可能是从血管中穿过,从肠道向上进入神经,或者甚至有可能通过鼻子进入大脑。


有益还是有害?
在死后人体大脑中发现的细菌在肠道中含量丰富,并对人的健康产生影响。美国华盛顿大学系统生物学教授Jeffrey Gordon及其研究团队曾经在Nature上发表研究称,与瘦子的菌群组成相比,肠道中含量最丰富的两类细菌厚壁菌门和拟杆菌门在胖子中含量更多。


                               
登录/注册后可看大图
图片来源:pixabay

但是这些同类细菌出现在大脑中,是对人有益还是有害?研究者还不能确定。他们没有看到任何迹象表明它们对人造成了伤害,而且他们也未量化或者系统比较过精神分裂症和健康大脑中的这些细菌。

在对大脑切片显微照片的初步调查中,Robertsde 研究小组观察到脑中的细菌具有令人费解的偏好。它们倾向栖息在星形胶质细胞中,星形胶质细胞与神经元相互作用,它能够引导神经元的移动,并能维持神经元周围的离子平衡。围绕在血脑屏障血管的星形胶质细胞末端及其周围,也同样是这些微生物的聚集地。Roberts目前还无法解释这些偏好,但她考虑,这些细菌是否是被这些脑细胞中的脂肪和糖所吸引。


未知还有很多

现在,Roberts对她的研究发现依然比较谨慎,她称他们从尸体中采集的组织样本有被污染的可能性,未来她的团队仍然需要排除污染。这些污染可能来源于空气或手术器械上的微生物,它们是否有可能在大脑切除过程中进入组织?她正在计划寻找这样的证据。另外,在小鼠研究中,她也需要排除那些可能在小鼠大脑中引入或者培养细菌的方案。

为什么此前没有人发现脑中的肠道细菌?为什么没有更多的研究人员发现这一情况? Roberts认为,其中一个原因可能是很少有研究人员将尸检大脑用于电子显微镜检查。 而且很多神经科学家可能就像此前的Roberts一样,无视或者未能识别他们样本中的细菌。

大脑中是否真的有Roberts提出的“大脑微生物组”?美国马里兰大学精神病学家Teodor Postolache在接受媒体采访中称,这依然需要更多的研究。Postolache曾经研究过弓形虫侵入大脑,但却并不引起显著疾病的情况。对于Roberts的发现,他并不感到意外。他说,“在大脑中发现其它的东西并不令我感到意外,不过,如果真的有此发现,这将是革命性的。”如果这些常见的肠道细菌在大脑中是常规和温和地存在,那么它们可能在调控大脑免疫活动中发挥着关键的作用。“这还需要很长的路来进行证明,”他说,“但是,这是一条激动人心的道路。”

参考链接:
https://abstractsonline.com/pp8/#!/4649/presentation/32057
https://www.sciencemag.org/news/2018/11/do-gut-bacteria-make-second-home-our-brains
https://www.cell.com/pb-assets/journals/research/cell/Online%20Now%20PDfs/cell9920r.pdf?code=cell-site
http://www.pnas.org/content/108/38/16050
https://www.nature.com/articles/nature05414


大道至简 万物于弧
*滑动验证:
您需要登录后才可以回帖 登录 | 立即注册

本版积分规则

手机版|Archiver|小黑屋|国际弧学研究会    

GMT-7, 2026-1-31 01:38 , Processed in 0.538757 second(s), 21 queries .

Powered by Discuz! X3.1

© 2001-2013 Comsenz Inc.

快速回复 返回顶部 返回列表