设为首页收藏本站

弧论坛

 找回密码
 立即注册
搜索
热搜: 活动 交友 discuz
查看: 4341|回复: 0
打印 上一主题 下一主题

奇闻!这个人只能看见动起来的东西!

[复制链接]

5943

主题

6662

帖子

7222

积分

坛主

Rank: 10Rank: 10Rank: 10

积分
7222
跳转到指定楼层
楼主
发表于 2018-7-18 05:18 | 只看该作者 回帖奖励 |倒序浏览 |阅读模式
奇闻!这个人只能看见动起来的东西![color=rgba(0, 0, 0, 0.298)]

[color=rgba(0, 0, 0, 0.298)]原创: [color=rgba(0, 0, 0, 0.298)]顾小花
医学界神经病学频道
[color=rgba(0, 0, 0, 0.298)]今天


声明:本文幽默诙谐的表达方式,主要希望为广大读者闲暇时带来更好的阅读体验。笔者发自内心地对科研工作者、以及为医学事业作出伟大贡献的患者、包括可敬的动物们表达由衷的敬佩!(《中国癫痫诊疗观念调研》邀您参与,更多惊喜请识别文末二维码/点击阅读原文亲手打开!)

作者|顾小花
来源|医学界神经病学频道

被蜘蛛咬了以后上天入地的叫“蜘蛛侠”;

被雷劈了以后解锁瞬移大法的叫“闪电侠”;

那么今天我们要隆重请出的这位阿姨,看来应该叫“脑梗侠“了。

“脑梗侠”阿姨并不能召唤神兽、也不能毁灭世界,不过也相当棒棒了,因为她本来应该因病而丧失视力,可她却能“看到”移动的东西。

平常咱们说的“瞎了”可以大致分成两种情况,一种是眼睛坏了,还有一种是脑子坏了。

广义来说,眼睛只能负责看、并汇报东西,也就是充当个大臣的角色:说说人间百态、时局变化。

可真正处理这些信息的是皇上——大脑。大臣不知道自己看到的是鹿还是马,只有皇上拍板决定:这是鹿,之后,我们才明白我们看到的是一头鹿。


                               
登录/注册后可看大图

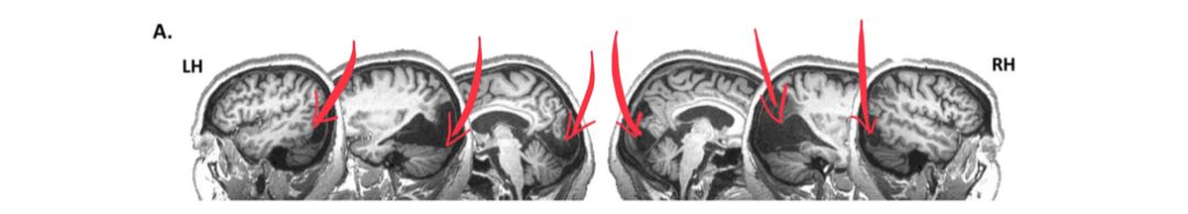
“脑梗侠”阿姨眼睛是完好的,不过她在1999年、30岁的时候,被不起眼的肺部感染搞到呼吸衰竭、严重低血压,之后一闭眼就是52天就过去了,醒来以后脑子就成这样了:


                               
登录/注册后可看大图

由于相应的血管被堵了,导致“脑梗侠”阿姨的后脑勺里不再充实。而负责视觉的大脑区域恰恰就在这里。


                               
登录/注册后可看大图

不要当真哦~这只是示意图,真正的视觉传导通路还是有点难度的,毕竟年年都要霸占医学生期末考试里解剖、神精病、眼科的龙椅。和遗传学试题里“一大家子人总是花式生出有各种各样病的孩子、或者不是亲孩子”的悲情故事并列,这幅图一出现,就意味着一个视觉通路变着法儿的堵,俩眼永远看不全的凄惨人生的开端。


                               
登录/注册后可看大图

如上图所示,两个半拉眼睛接受到的信息,顺着两侧半拉视神经在十字路口会和,共同拐一个叫做“外侧膝状体”的大弯,一起投射到后脑勺管视觉的距状裂的视觉皮层上。不过不管它怎么传,脑梗侠阿姨的后脑勺阵亡了,按理说她应该啥都看不到了,之前她的经治医生也都是这样认为的。


                               
登录/注册后可看大图

但是,6个月后,“脑梗侠”阿姨被一簇金光闪醒,等等……金光?!她突然意识到她可以看到慰问的礼品盒上跳跃的金光了!

所以当Dutton医生围观“脑梗侠”阿姨:

用手准确摆出所有在她眼前比出的手势。

顺利在鼓励之下绕过路上的障碍物。

准确说出移动的大型物体的颜色。

遂感到这是对当时现有知识的啪啪打脸。不过阿姨也表现出了另一个奇怪的特点——她只能看到会动的:

她可以看到雨水沿着窗户流下,但看不到窗外的水洼;

当女儿离开她身边时,她可以看到女儿的马尾在甩动,但看不到她的女儿;

她可以看到围着浴缸塞打着旋的水涡,但看不到洗澡的孩子。

不过动与静都是相对静止的,如果让“脑梗侠”不停晃头,她能不能看到那些静止的东西呢?

                                  能!

并且“脑梗侠”阿姨在进化的同时还解锁了个装备:摇椅~这画风也是很清奇了:坐在摇椅上不停晃头的48岁的阿姨……只为再看你一眼……


                               
登录/注册后可看大图

接下来的剧情有点似曾相识,好像小说、电影里都是这么写的,Dutton医生怀着激动的心情将“脑梗侠”阿姨的病例报道之后,又怀着激动的心情表示:“脑梗侠”阿姨还是个未解之谜,大家快来研究她!

不过和小说里那些“非正常人类研究中心、超人解剖所”之类的不同,Dutton医生很靠谱的把她送到韦仕敦大学脑与认知研究所的神经心理学家Jody Culham那里,至此,才出现了目前为止对“脑梗侠”阿姨最全面的研究与综述。

原来,“脑梗侠”阿姨的这种神奇现象叫做“里多克现象(Riddoch Phenomenon)”
第一次世界大战期间,英国的里多克医生作为临时军医,发现大脑皮层枕叶的距状裂区域受损的士兵都出现了失明的症状,可是检查过程中,一些士兵能够在盲区中感受到运动的物体,不过这些物体据说是无形无色,只有一种阴影的感觉。这是由于在枕叶的病变限制了患者的区分物体的能力,盲区中只有移动物体是可见的,静态的物体对患者是不可见的,也看不到移动物体的颜色或细节、往往可能看到的是一团阴影或者略有些重影。

“脑梗侠”阿姨的表现也确确实实是教科书式的:她可以“看”到向她滚过来的球,并且提前摆好手的位置,但当她接到球的时候往往会大吃一惊,因为球的样子和体积往往和她预测的大相径庭。她能看到别人把手伸到她眼前,但人家大拇指是朝上还是朝下这个事,只能靠蒙了。据“脑梗侠”阿姨说,自己可以看到很多颜色,结果基本都说错了。看到地毯上的阳光,她也会很当回事的去捡,捡完才知道这不是个东西,不过看起来还挺浪漫的耶~

可是为啥在核磁上面看,脑梗侠的初级视皮质v1-v3、以及外部区域hV4,V3A,V3B,LO1-2和VO1都受损了,阿姨还能“看见”呢?

我们再来深入了解了解视皮质:

在接收到外侧膝状体传来的信息之后,投射到后脑勺枕叶的视皮质来,更具体一点来说,投射到的是初级视皮质——v1——这个纹状皮层(Striate cortex)。但是在v1之上的其余不少枕叶皮层也涉及了视觉处理,比如v2-v4这几个外纹状皮层。

按照现有研究,v1处理简单视觉,v2是处理图形与轮廓,v3更多的在传递信息,v4对颜色觉有关。


                               
登录/注册后可看大图

再往下传的时候,顺着上面绿色走的,是分析视觉信号所带来的“Where”也就是位置信息;而往下方蓝色走的,分析的是关于“What”信息,也就是去识别和描述看到的是什么东西?


                               
登录/注册后可看大图

v1-v2-v3-MT(middle temporal,中颞区,即v5)这一条背侧流通路成功地把视觉信息传递到了大脑的顶叶区域,顶叶往往负责动作,躯体感觉以及空间识别,所以通过它,人们可以很好的理解所观察到的物体与空间以及人的关系,从而进行下一步操作。比如我正在熬夜写稿子,我必须要看到电脑的同时,还知道电脑在哪里,之后我才能写~

而v1-v2-v4-下颞叶,这一套腹侧通路是内容通路(what),人通过该通路识别是什么,同时在腹侧通路的杏仁核还可以识别情绪~所以,不要随便对盲人甩脸色哦,人家杏仁核说不定早就清楚你那些小幺蛾子了~

随着研究的深入,功能性以及结构性的核磁成像终于让“脑梗侠”阿姨的秘密渐渐浮出水面:MT(颞中运动复合体)有着引人注目的强大、备用功能,功能和结构MRR双侧地揭示了中间时间运动复合体(MT+)的强大且可靠的备用功能。并且看样子MT还负责包揽了“脑梗侠”阿姨识别运动方向的功能。不过尽管做了很多测试,科学家依然无法发现,在给MT传递信息的初级视皮质都死翘翘的情况下,MT是怎么自助工作的~
   

                               
登录/注册后可看大图

你瞅瞅,看到动态的棋盘,这家伙给“脑梗侠”阿姨的MT乐的,直“冒火光”(图中橙色区域为强烈激活的MT)~

“脑梗侠”阿姨的初级秘密揭示了:“MT自动激活,拯救视觉。”可更深的秘密却引起了所有科学家的重视与深思:

现在越来越多的证据表明人类和动物的大脑在受损时能够重新“布线”,绕过“坏道”尽量保留原本的功能。

那么究竟是怎么重新布线的呢?能不能通过人工促使大脑重新布线呢?如果真的解开了这个谜团,桥头可能不必再看见“阿炳们”的身影、导盲犬们也可以当一只快乐的狗子安度一生,多少家庭和人生会被拯救啊!希望真的有那么一天,“脑梗侠”能变成一个真的侠,行侠仗义、造福四方,被世界所铭记!

参考文献:
1.Dutton,G.N.(2003).Cognitive vision,its disorders and differential diagnosis in adults andchildren:knowing where and what things are.Eye,17(3),289–304.https://doi.org/10.1038/sj.eye.6700344\r6700344[pii]

2.Striemer C L,Whitwell R L,Goodale M A.Affective blindsight in the absence of input from face processing regions in occipital-temporal cortex[J].Neuropsychologia,2017.





大道至简 万物于弧
*滑动验证:
您需要登录后才可以回帖 登录 | 立即注册

本版积分规则

手机版|Archiver|小黑屋|国际弧学研究会    

GMT-7, 2026-4-25 09:07 , Processed in 0.766180 second(s), 22 queries .

Powered by Discuz! X3.1

© 2001-2013 Comsenz Inc.

快速回复 返回顶部 返回列表