设为首页收藏本站

弧论坛

 找回密码
 立即注册
搜索
热搜: 活动 交友 discuz
查看: 3866|回复: 0
打印 上一主题 下一主题

人家的脑子是纯金的!纯金的!

[复制链接]

5919

主题

6627

帖子

7187

积分

坛主

Rank: 10Rank: 10Rank: 10

积分
7187
跳转到指定楼层
楼主
发表于 2018-4-27 18:28 | 只看该作者 回帖奖励 |倒序浏览 |阅读模式
人家的脑子是纯金的!纯金的!

2018-04-27
让知识更有趣
中科院物理所

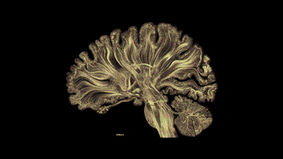
下面这个看起来金光闪闪充满土豪气息的图,你猜它是什么?


                               
登录/注册后可看大图

正确答案是:由神经学家Greg Dunn博士,与另一位应用物理学家Brain Edward博士雕刻出的大脑切片艺术作品,而且,是用黄金做的。


                               
登录/注册后可看大图

这副名为Self Reflected的黄金脑切片长达2.4米、宽3.6米,将大脑放大了整整22倍。仅仅在下图这片区域中,就交织着近50万个脑神经元,千丝万缕,极为壮观。


                               
登录/注册后可看大图

而真正的表演这才刚刚开始。随着展示厅的灯光闪动,整个大脑竟然开始「运转」,静态的图像逐渐变为动态,如同正在思考一般。


                               
登录/注册后可看大图

金色大脑切片随着灯光的移动被赋予了动画效果,仿佛人脑中的千万信息正化身金色光点在奔腾涌动。


                               
登录/注册后可看大图

来看看你大脑中熟悉而又陌生的各个部分,是不是第一次发现它们竟然如此精致。


                               
登录/注册后可看大图
(脑干和小脑)

                               
登录/注册后可看大图
(脑桥)

                               
登录/注册后可看大图
(顶叶皮层)

                               
登录/注册后可看大图
(视觉皮层)

                               
登录/注册后可看大图
(丘脑和基底神经节)

                               
登录/注册后可看大图
(脑中的网状结构)

Self Reflected不仅创造了探索大脑的新方式,也被美国《赫芬顿邮报》评为迄今为止世界上最复杂、最细致的人脑艺术描绘。


                               
登录/注册后可看大图

看完之后,狂丸感觉自己浪费了这炫酷的脑子。


                               
登录/注册后可看大图

如此精妙绝伦的设计,Greg博士和他的合作者足足打磨了两年。


                               
登录/注册后可看大图

他们采用的雕刻工艺名为「反射微蚀刻」,方法是透过图案模板,用特殊光线照射光刻胶层表面,通过腐蚀光刻胶层来雕刻出立体线路,进而用线路组合成各种花纹图案,操作与制造集成电路十分相似。


                               
登录/注册后可看大图

                               
登录/注册后可看大图
(Greg博士的电路图作品)

不过「反射微蚀刻」像是开了倍镜外挂,它可以在微观视角下进行操作,相当于让作品复原出显微镜下的视角。


                               
登录/注册后可看大图

而图像之所以会产生流动的视觉效果,是因为「反射微蚀刻」调整了图案的反射率。Greg博士根据想要的动画效果用不同方式雕刻凹槽,以此控制图案对光线的反射。所以无论是照射光线的变化,或是观众更改观看角度,眼前的静态画面看起来都像是会随之发生变化。


                               
登录/注册后可看大图

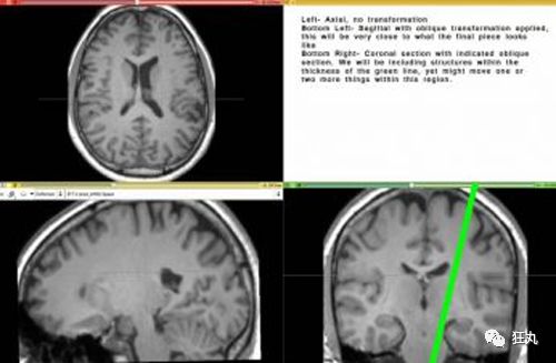
制作过程从雕刻图案模板开始。第一步要做的是锁定需要的切片范围,Greg的选择是正对着大脑斜着来一刀。


                               
登录/注册后可看大图
(绿线代表切开的部分)

当然这一刀不是随便切着玩的,而是经过反复对比,选出一个可以最全面的展示出大脑结构与组织的切面。


                               
登录/注册后可看大图

接着Greg开始对切面中的神经元进行深入研究,他首先复制出了100多种不同形状的神经元,手绘了500张图案。


                               
登录/注册后可看大图

                               
登录/注册后可看大图

这些图案就像搭建房屋的砖块,Brain Edward博士用电脑将它们数据化,并存入数据库,然后逐步排列到正确的部位。


                               
登录/注册后可看大图

                               
登录/注册后可看大图

接着还要创造「轴突」,每个神经元都有一根轴突,作用是将神经冲动从细胞体传出,到达与它联系的各种细胞,说简单点就是发射大脑信号的炮台。


                               
登录/注册后可看大图
(用数学方法改进的手绘轴突)

然而这样拼接出的图案只能算还原图形,并不能让大脑「活」过来,想要大脑能够变色、活动还需要更为复杂的工序。为了能够准确的模拟出大脑神经元之间的信息传递与联系,两位学霸与卡内基梅隆大学神经学家约翰·皮尔斯博士合作,开始收集扩散光谱成像数据,并利用这些数据进行数学模拟。


                               
登录/注册后可看大图

通过计算他们不仅模拟出神经元的生长与搭配关系,还计算出作品在不同灯光下的反射状态,包括亮度明暗、色彩变换等等,最终形成一套雕刻时所需要图案样板。


                               
登录/注册后可看大图

                               
登录/注册后可看大图

                               
登录/注册后可看大图
(从单个神经元、到多个组合、到整个大脑的图形模拟)

然后根据这套图案,利用反射微蚀刻技术雕刻大脑切片:打印胶层、清洗、贴膜、雕刻一气呵成。


                               
登录/注册后可看大图

                               
登录/注册后可看大图

作品出炉后,还被贴上了1750张22K金箔,好似给大脑敷了一张纯金「面膜」。


                               
登录/注册后可看大图

                               
登录/注册后可看大图

这些金箔极为轻薄,不仅不会干扰作品的展示,同时还会增幅反射效果,让作品更加美观。


                               
登录/注册后可看大图

这样的雕刻过程需要重复25次,最终由25个小版块最终拼出了金闪闪的大脑切片。


                               
登录/注册后可看大图

当然最后还需要精心计算出一套光线系统。这套系统由144个LED灯组成的阵列,它们通过有序的闪烁照明帮助图案完成大脑活动的模拟。


                               
登录/注册后可看大图

根据光线色彩的变更,它的颜色同样可以调节。


                               
登录/注册后可看大图

按照制作者的讲解,Self Reflected的每次闪动都是在模拟大脑的思考过程。换句话说,当观众驻足观赏时,它所展示的很可能就是观赏者当下的大脑反应。


                               
登录/注册后可看大图

这也是为什么作品名为Self Reflected,意思就是自我反思。


                               
登录/注册后可看大图

在痴迷于东方水墨的Greg制作下,类似的人体科学作品随便截张图都充满了艺术细胞。在绘制大脑神经元的连接点「突触」时,画面中的景象就像是用水墨涂抹出的枯藤老树。


                               
登录/注册后可看大图

而神经元本体则像是深埋于地下的树根。


                               
登录/注册后可看大图

下面这副雪上枝头,讲的其实是神经元的迁移的过程。


                               
登录/注册后可看大图

这一幅又像是险峰中耸立着数棵金树,其实这是小脑叶。


                               
登录/注册后可看大图

胶质细胞和血管被Greg雕刻成了深埋土中的巨型根茎。


                               
登录/注册后可看大图

神经与肌肉交错的图像,如同巨大藤蔓。


                               
登录/注册后可看大图

头发神经像是黑色闪电。


                               
登录/注册后可看大图

脊髓给人的感觉像是一只青蓝色的蝴蝶。


                               
登录/注册后可看大图

骨髓增生则像是俯瞰中的茫茫荒漠。


                               
登录/注册后可看大图

大脑中的海马体被灯光一晃,还以为是迪厅的彩灯。


                               
登录/注册后可看大图

杂乱的图案在光线一明一暗间,构成了手部的神经。


                               
登录/注册后可看大图

Greg用「反射微蚀刻」技术让人体科学变得炫酷,同时也揭示了:人类自身其实就是一座艺术宝库。细胞与神经构成的每个画面都很惊艳,而人体中蕴含着无数个它们。Self Reflected的闪光很华丽,但真正的人脑传递信息速度还要比它快上一万倍,而且结构更精密、更复杂。


                               
登录/注册后可看大图

这些令人叹为观止的艺术佳作,其实都来自于我们自己,所以,你现在知道自己有多美了么?


                               
登录/注册后可看大图
(Greg创作的「使用瑜伽控制呼吸法的人体」)

来源:狂丸
编辑:loulou


大道至简 万物于弧
*滑动验证:
您需要登录后才可以回帖 登录 | 立即注册

本版积分规则

手机版|Archiver|小黑屋|国际弧学研究会    

GMT-7, 2025-12-15 05:33 , Processed in 0.540804 second(s), 22 queries .

Powered by Discuz! X3.1

© 2001-2013 Comsenz Inc.

快速回复 返回顶部 返回列表