设为首页收藏本站

弧论坛

 找回密码
 立即注册
搜索
热搜: 活动 交友 discuz
查看: 5018|回复: 0
打印 上一主题 下一主题

你的大脑和宇宙惊人地相似?

[复制链接]

5917

主题

6625

帖子

7185

积分

坛主

Rank: 10Rank: 10Rank: 10

积分
7185
跳转到指定楼层
楼主
发表于 2017-8-17 13:01 | 只看该作者 回帖奖励 |倒序浏览 |阅读模式
你的大脑和宇宙惊人地相似?

原创
2017-08-11
安德烈 利维坦


利维坦按:莱布尼茨提出的单子论包含相对质朴的“全息思想”,启发后人。直到1993年由诺贝尔得主——G·霍夫特在1993年正式提出全息宇宙理论,其基本原理是:从潜显信息总和上看,任一部分都包含着整体的全部信息。数学上,全息论是指用递归原理推导得出的,宏观事物具有自相似性的结论。在宇宙这个整体中,各个子系统与系统、系统与宇宙之间都存在全息对应,因为它们相互存在联系,正如“一沙一世界”所言。这一说法的支持者群体虽非主流,但也正日益壮大。

印度神话中对于世界有个有意思的说法,认为整个世界只是梵天神的一个梦,梵天一醒,世界就会不复存在。也就是说,我们所处的世界源自神的大脑。那么,我们的大脑中是否也有个世界?



文/Franco Vazza & Alberto Feletti
译/安德烈
校对/大药
原文/nautil.us/issue/50/emergence/the-strange-similarity-of-neuron-and-galaxy-networks
本文基于创作共用协议(BY-NC),由安德烈在利维坦发布

克里斯托弗·科赫(Christof Koch,美国加州理工学院认知和行为生物学教授,《意识探秘》、《意识与脑》等书的作者)是意识和人类大脑领域的先驱研究者,他对大脑的称呼:“已知宇宙中最复杂的结构”,相当有名。我们不难发现为什么会有这样的说法。人类的大脑拥有1000亿个神经元100万亿个连接点,着实是一个令人眩晕的复杂物体。


                               
登录/注册后可看大图
最接近的超星系团(室女座超星系团)。包含银河系和仙女座星系所属的本星系群在内,至少有100个星系团聚集在直径33百万秒差距(1亿1千万光年)的空间内,是在可观测宇宙中数以百万计的超星系团中的一个。图源:维基

不过,宇宙中还有很多其他的东西一样很复杂。例如,星系可以形成巨大的星云结构【我们将其称为星系团(cluster)、超星系团(supercluster)和宇宙长丝线型结构(filaments)】,这些星云结构可以延伸到数亿光年的范围内。研究者将星云结构本身和虚空中延展部分的边界称为宇宙巨洞(cosmic void),其复杂程度远远超过人们的想象。重力使得处于边界的物质以每秒数千公里的加速度加速运行,形成了存在于星系间气体重的激波和湍流。我们已经通过衡量所需的信息数量预测到,由“长丝”和“空洞”(void)组合而成的聚合体是宇宙中最复杂的一种结构,我们以信息量(我们将宇宙中物质和能量的运动过程和互动过程的集合体称为信息)来描述它。


                               
登录/注册后可看大图
宇宙网(cosmic web)的计算机模拟图,显示出了长丝连接结构。图源:sciencedaily

我们不禁会思考:星系会比人脑复杂吗?

所以,我们——其实是我们中的天体物理学家和神经科学家——联合起来,对星系网络和神经网络的复杂性进行了定量的比较。比较产生的第一个结果令人惊讶:不仅大脑和宇宙网络具有相似的复杂程度,而且它们的结构也具有相似性。

                               
登录/注册后可看大图
星系会比人脑复杂吗?

把人脑和星系比较是艰难的。很典型的一个难题就是,它需要研究人员用完全不同的方式处理所获得的数据:一边是望远镜和做数值模拟处理,另一边是电子显微镜、免疫组织化学和功能性磁共振。

跨学科的对比还要求实验人员考虑比较对象差距悬殊的大小规格:整个宇宙网络——由宇宙所有星系的运动轨迹联结而成的庞大结构——延伸范围至少有几百亿光年,足足人脑大10^27倍。另外,其中一个星系(也就是银河系)是数十亿个大脑的家园。如果宇宙网络至少和它的组成部分一样复杂,我们可能会天真地下结论说,宇宙网络至少会和大脑一样复杂。

人类大脑中神经元的总数和宇宙中可观测到的星系数量大致相同。

但是,涌现(emergence)这一概念使这种比较成为可能。许多自然现象在不同层面上的结构存在着复杂性上的差别。只有以最大的限度观察太空,宇宙网络的庞大构架才会显现出来。在更小的规模下,物质被固定在恒星、行星和(可能是)暗物质云中,宇宙网络的结构就不再适用了。一个不断演化的星系并不会在意原子内的电子舞动的轨迹,而电子围绕着它们的原子核运动,也不会考虑它们所处的星系系统。

按照上文所说的思路来看,宇宙中嵌套着许多大大小小的系统,不同规模的系统之间很少有、甚至几乎没有相互作用。系统规模带来的隔断使研究者们在“发生在系统的自然规格下”的前提下研究物理现象。

恒星、气体和暗物质(它们的存在尚未被证实)的自引力晕(self-gravitating halo)是宇宙网络构建的接触结构。在宇宙中,我们可观测到的星系总数应该是1000亿。时空结构的加速膨胀和自重力产生的牵引力的平衡使宇宙网络形成了蛛网状结构。普通物质和暗物质凝聚成类似于丝状的纤维体,而星系团则形成于纤维体的交叉点,剩下的大部分空间基本上都是空的。最终形成的结构看起来与生物学有着那么点似有似无的关系。

使用SpikeFun演示模拟器(v0.71)制作出来的哺乳动物大脑皮层神经系统,包括8亿个神经元、14亿个突触,宛若星河:


(建议wifi环境下打开)

直到最近才出现对人类大脑中细胞或神经元数量的直接估计。灰质皮层(占大脑重量的80%)包含约60亿神经元(占大脑神经元的19%)和近90亿非神经元细胞。小脑有大约690亿神经元(占大脑神经元的80.2%)和约160亿非神经元细胞。有趣的是,人类大脑中神经元的总数与宇宙中可观测到的星系的数量大致相同。

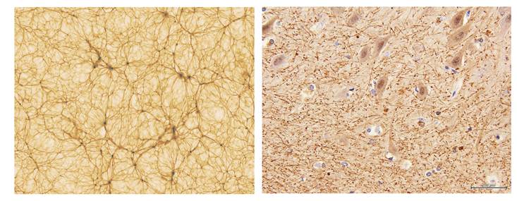
我们完全可以从宇宙网络和大脑的图像上一眼看出二者的相似性。图1中呈现了一幅直径10亿光年的宇宙物质的模拟分布图,以及一只4微米宽的人类小脑的实像图片。


                               
登录/注册后可看大图
模拟宇宙网络(左)的物质分布与在小脑(右)中观察到的神经元分布。神经细胞已经被克隆2F11单克隆抗体染色与神经纤维丝产生对照。Automated Immunostainer Benchmark Xt, Ventana Medical System, Tucson, AZ, USA

这种明显的相似性,是否可能仅仅是人类在大量随机的数据中有目的性地去发现一些“具备意义”的倾向性?我们要知道,答案似乎是否定的:统计分析显示,宇宙网络系统和神经元系统在数量上确实有相似性。研究人员经常使用功率谱分析技术(power spectrum analysis)来研究规模庞大的星系分布状况。对某张图片进行功率谱分析,能够测量出属于特定空间规模的结构波动强度。换句话说,每个图像特有的空间规模是整个曲子的旋律,那么功率谱分析可以告诉我们,在这整个旋律中,高音和低音音符各有多少。

图2(下图)的功率谱图中呈现出一个令人震惊的信息:两种网络中,波动的相对分布非常相似,这种相似性超越了二者规模上的巨大差异。

一个不断演化的星系并不关心原子中的电子舞动的轨迹。

小脑的波动分布在0.1-1毫米的范围内。我们可以联想,在几亿光年的宇宙范围内,银河系的波动分布应该也是如此。在最小的空间规模条件下,我们可以进行微观(约为10微米)的观测,大脑皮层的神经元分布与大小数十万光年的宇宙空间和星系形态更加相似。

相比之下,其他复杂系统的功率谱(包括云、树枝、等离子体和水的湍流的投影图像)与宇宙网络的图像不同。这些系统的功率谱对于空间规模有着更大的依赖性,这也是其分形(fractal)特性的表现。树枝的分布和云层的分布尤其明显,二者也都是非常典型的分形结构,在不同的规模上重复着类似的结构模式。从另一方面来说,对于宇宙网和人脑的复杂网络而言,它们的图像并不存在分形的特征,这也是解释它们出现规模依赖性和自组织结构(self-organization)的依据。

与功率谱比较相同,图像无法让我们直接判断出这两个系统是否同样复杂。评估系统复杂性的一种实用方法是衡量预测其行为的难度。研究人员可以通过计算构建最精简的预测程序所需要的最少数位信息量进行评估,所需信息量越多,则该系统更加复杂。


                               
登录/注册后可看大图
上图为空间波动程度与空间规模的函数关系图。为了做出对比,图中也给出了云、树枝、等离子湍流和水流的能量谱密度。

最近,一位研究者基于数字模拟宇宙的演化计算出了预测宇宙网络发展的困难程度。评估表明,为了出现自组织结构(至少是在模拟程序中),描述整个可观测宇宙的进化过程需要1-10PB(拍字节,即106GB)。

对人类大脑的复杂性预估则要更困难,因为对大脑的模拟在世界范围内仍然是一个前所未有的挑战。然而,我们可以说,大脑的复杂性与智力和认知成正比。基于对脑神经网络链接的最新分析,研究者可以得出结论:成人大脑的总记忆容量应该在2.5 PB左右,与之前预估的星系1-10 PB的范围相差不远。

粗略看来,这种在记忆容量上的相似性意味着,储存在人脑中的信息(例如,一个人的整个生命历程)也可以被编码成我们宇宙中星系的分布。或者,反过来说,一个具有人类大脑记忆能力的计算装置,可以在规模最大的宇宙范围内再现其所显示的复杂性。


                               
登录/注册后可看大图
模拟宇宙立方体(长宽为3.5亿光年,深度30万光年)的切片图反应了暗物质在宇宙中的分布,白色密集的小点为星系。图源:Markus Haider / Illustris collaboration

事实上,宇宙网络与人脑的相似性比与内部的星系更高,换句话说,神经元网络与宇宙网络要比与宇宙网络的某一内部结构更相似,这是一个值得深思的事实。尽管二者在基质、物理机能和大小上存在着巨大的差异,但结合信息理论工具来看,人类的神经网络和星系之间的宇宙网络的确有着惊人的相似之处。

这一事实告诉我们,这两种系统中涌现的现象有什么物理学意义吗?也许吧。但我们必须对这些发现持保留态度。我们的分析仅限于用非常不同的测量技术研究很小的样本。

此外,我们的分析并没有指出这些系统之间的动态相似性。在这两个系统中建立随时间跨越空间规模的信息模型是接下来需要研究的关键问题。对宇宙网络,这种模拟已经是可以通过数值模拟进行预估。对于人类的大脑,我们必须依赖更多的全球样本估算,通常是由小样本测出,然后按比例放大。在不久的将来,我们的目标是在更复杂的人脑数值模型中测试这些概念。

像人类大脑工程(Human Brain Project)这样的项目都旨在模拟整个人类的神经网络,而Square Kilometer Array是射电天文学领域(radio astronomy)里最大的企业,它将帮助我们填补这些细节,并让大家了解,宇宙是否比我们想象得更惊人。
大道至简 万物于弧
*滑动验证:
您需要登录后才可以回帖 登录 | 立即注册

本版积分规则

手机版|Archiver|小黑屋|国际弧学研究会    

GMT-7, 2025-11-4 23:34 , Processed in 0.543088 second(s), 22 queries .

Powered by Discuz! X3.1

© 2001-2013 Comsenz Inc.

快速回复 返回顶部 返回列表