设为首页收藏本站

弧论坛

 找回密码
 立即注册
搜索
热搜: 活动 交友 discuz
查看: 5302|回复: 0
打印 上一主题 下一主题

为什么我们总是难忘那些听过的歌?

[复制链接]

5919

主题

6627

帖子

7187

积分

坛主

Rank: 10Rank: 10Rank: 10

积分
7187
跳转到指定楼层
楼主
发表于 2017-6-9 02:00 | 只看该作者 回帖奖励 |正序浏览 |阅读模式
为什么我们总是难忘那些听过的歌?

Original
2017-05-28
Foo等
赛先生



当你在享受美妙的音乐时,你知道大脑里发生了什么吗?最新的一项研究报道指出,大脑中有一个区域只有在欣赏熟悉的音乐时才变得活跃。这个区域并不是平时用来记忆知识和生活常识的那部分大脑。接下来,我们会详细了解一下这部分音乐记忆区,以及为什么不容易丧失这个区域的记忆。



                               
登录/注册后可看大图
“给少年的科学前沿”系列(12)

作者 Francine Foo、Elizabeth L. Johnson(美国加州大学伯克利分校HelenWills神经科学研究所,生物物理研究组,心理学系
原文编辑 Robert T. Knight(美国加州大学伯克利分校)
翻译  BiotinQ
编辑  李娟
赛先生“中小学生评审”周元恒为本文撰写了点评。
大脑中的音乐记忆
先让我们来做一个简单的测试: 从你手机曲库里挑一首歌,播放前3秒,如果你能唱出或者哼出该曲子接下来的5秒,得1分,一共选20首歌,看看你能得到多少分?你能得15分以上吧?这在我们的预料之中。我们的大脑十分了不起,能在短时间内不费吹灰之力地记起至少15首歌曲的乐律、音准甚至歌词。

大脑对音乐情有独钟,可以创造、储存和反馈大量关于音乐的记忆,却不用刻意而为。比如说,当你听到一首动人的歌曲,几天后你可能会记住其中的一部分,反复多听几次就可能完全记住它。相比之下,我们平时肯定花了太多精力来记书本上的知识或者日常琐碎的事情。更有意思的是,即使是得了失忆症的人,他们也不会丧失对音乐的记忆。

在《Musicophilia》这本畅销书中,Oliver Sacks医生讲述了音乐家、音乐学者CliveWearing的故事。Clive罹患一种叫单纯疱疹脑炎的严重大脑疾病,他只能有瞬间的记忆力([1], 第15章),几乎完全忘记了他的过去,但是却能凭仅剩的记忆演奏钢琴曲子并且在指挥合奏的同时合出旋律。这种现象并不稀奇,一些得了失忆症的普通人也对音乐表现出比较强的记忆力([1], 第29章)。 那到底是什么让他们对音乐和其他事物做出区别?接下来的部分我们来介绍大脑中的音乐记忆区,和为什么这部分记忆可以顽强保存下来。

音乐记忆不同于其他长期记忆机制
为了形成和获取长期记忆(比如个人经历或者知识),大脑的很多部分会协同合作,形成信息网络来传达信息。举个例子,某天,当我们回忆早些时候看到的东西长什么样子,会用到大脑中处理视觉信息的枕叶区。在回忆早些时候思考的事情,或者思考过去的事情会有何种不同走向时,会用到大脑中专职于思考的前叶区。当你在回忆过去或者展望未来时,大脑中的前叶区和颞叶区会同时活跃[2,3]。所有这些反应都发生在大脑颞叶区专门用于产生记忆的特殊区域:下丘脑。

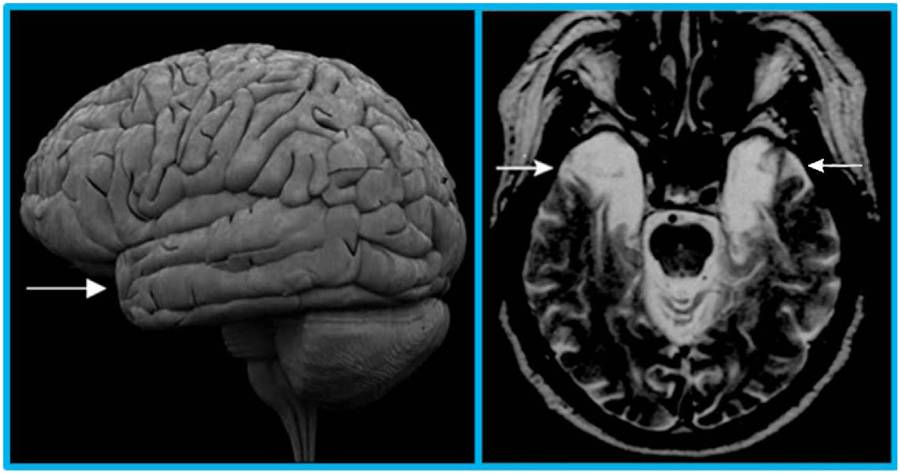
Wearing先生脑组织中感染的病毒破坏了他的下丘脑和下丘脑附近的区域,因此导致失忆症。 另一个叫Henry Molaison的病人同样丧失了部分记忆,因为医生在手术中移除了他的下丘脑和颞叶区的顶端部分(图1)。这些研究表明,大脑中的下丘脑和其邻近的颞叶区对产生和获取长期记忆起到至关重要的作用。


                               
登录/注册后可看大图
图1. H.M.患者在接受手术移除颞叶区后的脑扫描图。 左图中反映的是大脑外观的侧面图。 图中箭头指的是颞叶区的顶端。右图中是H.M.患者脑切面图,视角是从下往上观察。 箭头指出的颞叶区中较亮的部分是手术后残留的液体。因为移除了颞叶区那部分,H.M.患者再也不能回忆起手术前几年内发生的事情。此图来自参考文献[2]。

失智症是另一个引发海马体以及枕叶区附近区域病变的原因。失智症患者通常有记忆力下降以及思考和交流障碍的问题。失智症是一个慢慢恶化的过程,一般从比较轻微的失忆症症状开始,到若干年之后完全失去自理能力[3]。在症状恶化的过程中可以发现大脑内的枕叶区,前叶区以及其他用于思考的区域内出现越来越多的损伤[2-4]

然而,即使失智症病人患有严重的失忆,甚至记不得自己,他们仍旧对音乐保存相当一部分记忆([1],第9章)。虽然大部分大脑都出现了损伤,当其他长期记忆也出现问题的时候,这部分关于音乐的记忆不知原因地被保留了下来。难道音乐记忆是被保存在大脑的其他区域?在空间上是否与长期记忆区域是分开的?

为了回答这个问题,研究人员让32位成年人聆听音乐并记录了他们的脑部活动。这些音乐他们或熟悉或印象不太深或完全陌生。熟悉的音乐是在1977到2007年间的最受欢迎的歌曲前十,以及一些童谣和老歌。陌生的音乐基本上由测试者在亚马逊或者潘多拉平台上聆听的歌单来决定。在被测试的前一小时,测试者们会被要求听两次陌生音乐中的一半,因此把这些歌曲定义为印象不深组。  

从测试结果可以看到,和另外两组相比,当测试者们聆听熟悉的音乐时,大脑中的腹侧前运动辅助区和尾部前端扣带迴区变得异常活跃。图二第一排中标出的红色部分就是这两个区域。另外,研究发现,根据这两个区域的活跃程度可以准确地判断出测试者对歌曲是否熟悉。从这些研究看出,大脑中有一个音乐记忆区,那里保存着我们喜欢的歌曲的记忆。重要的是,这个音乐记忆区与用于长期记忆的海马体以及枕叶区是分开的。

老年痴呆症患者为什么会保留关于音乐的记忆
既然我们已经知道了大脑中有一个特殊的音乐记忆区,那么阿尔兹海默症患者的大脑中的这部分区域是怎样的呢?阿尔兹海默症是最普遍的一种失智症,患者通常是老年人,所以也称为老年痴呆症。患者一开始对自己是谁,去过哪,做了什么渐渐失去记忆。在患病后期,他们会有说话障碍,日常生活无法自理,和别人交流存在严重障碍。换句话说,老年痴呆症患者的症状往往比一般失忆症要严重,他们不仅搞不清楚自己是谁,最后会失去关于生活的一切记忆[2,3]

在阿尔兹海默症的诊断中,医生们会对大脑的各个症状进行分析:
(I)脑组织损伤,因此大脑萎缩。
(II)引发脑细胞死亡的淀粉样蛋白沉积增多(即淀粉样蛋白斑)。
(III)脑组织对葡萄糖摄入减少,是因为萎缩的脑组织不需要过多的糖摄入来维持工作。


                               
登录/注册后可看大图

                               
登录/注册后可看大图
图2. 人脑中的“音乐记忆区”,有幸在阿尔兹海默症中仍旧维持正常工作。本图中展示的是大脑的剖面图,分别为左右侧拍的两个部分。第一排中标红的是音乐记忆区,右侧大脑也有这部分,本图中没有标出。在其他图像中,这个区域由黑白边界标出。第2,3,4排的图像分别展示了阿尔兹海默症患者大脑中的受损症状:脑萎缩、糖摄入减少以及蛋白斑增多。受损程度可以从右边的标尺中读出,损伤程度从蓝色、绿色到橙色逐步递增。和大脑中其他部分相比,音乐记忆区的确受损最少。此图来自参考文献[5]

核磁共振影像技术被用来观察大脑中萎缩的部分。正电子发射计算机断层扫描技术(PET)用于检测脑组织中的蛋白斑或者糖摄入量。读者们可以从参考文献3中了解关于阿尔兹海默症的知识和诊断方法。

图2中的第2、3、4排影像就是由核磁共振和PET技术合成的。我们可以从第一排的造像中得知音乐记忆区的位置。然后研究人员对20个没有经过音乐训练的阿尔兹海默症患者的的MRI和PET造像进行分析[5]。从图中可以发现,音乐记忆区内萎缩的现象比其他脑组织要轻微很多,而且糖摄入比较正常,因此这部分区域仍旧可以正常工作(图2第2,3排)。然而,枕叶区和用于长期记忆和自我意识的脑回路就没有像音乐记忆区那么幸运了。这些区域糖摄入量明显下降,萎缩程度也比较高。综上所述,如果阿尔兹海默症影响的是这些区域而非音乐记忆区,那么患者在失去长期记忆、自我意识和感受时却能够记住音乐也就说得通了。  

另外从图2最后一排造影中可以发现,音乐记忆区的蛋白斑和其他部分相比,并没有显著减少。然而阿尔兹海默症患者的脑组织通常是从蛋白斑增加开始,之后糖摄入不足,到最后脑组织萎缩。蛋白斑的出现甚至在记忆损伤之前。因此,研究者们认为,人脑中的音乐记忆区并没有像其他如枕叶区或者长期记忆区域那样快速地被损害。事实上,在整个阿尔兹海默症进程中,音乐记忆区可能是最后被影响的那部分脑组织。

结语
音乐记忆区的发现可以用来解释为什么失忆症或者失智症患者会保留对音乐的记忆。像Sacks医生解释的那样,丧失长期记忆的病人似乎只能活在当下,他们失去了自我意识,但是却对原来听过的音乐记忆犹新。如果音乐记忆区可以不像其他区域那样容易被损伤,音乐记忆肯定不同于其他长期记忆。而音乐之于人生的神奇魔力也着实非同寻常。

参考文献:
[1] Sacks, O. 2008. Musicophilia: Tales of Music and the Brain. NewYork: Vintage Books.
[2] Dickerson, B. C., and Eichenbaum, H. 2010.The episodic memory system: neurocircuitry and disorders. Neuropsychopharmacology 35(1):86–104. doi:10.1038/npp.2009.126
[3] Jagust, W. 2014. Dad can do time travel … but grandpa can’t! Front.Young Minds
2:18. doi:10.3389/frym.2014.00018
[4] Benzinger, T. L. S., Blazey, T., Jack,C. R., Koeppe, R. A., Su, Y., Xiong, C., et al. 2013. Regional variability of imagingbiomarkers in autosomal dominant Alzheimer’s disease. Proc. Natl. Acad. Sci.U.S.A. 110:E4502–9. doi:10.1073/ pnas.1317918110
[5] Jacobsen, J. H., Stelzer, J., Fritz, T. H., Chételat, G., LaJoie, R., and Turner, R. 2015. Why musical memory can be preserved in advanced Alzheimer’s disease. Brain 138:2438–50. doi:10.1093/brain/awv135



大道至简 万物于弧
*滑动验证:
您需要登录后才可以回帖 登录 | 立即注册

本版积分规则

手机版|Archiver|小黑屋|国际弧学研究会    

GMT-7, 2025-12-15 01:36 , Processed in 0.661605 second(s), 27 queries .

Powered by Discuz! X3.1

© 2001-2013 Comsenz Inc.

快速回复 返回顶部 返回列表